当院対応のシステム
当院は次のインプラントシステムに対応しております。
- ブローネマルクインプラント
- ストローマンインプラント
- GCインプラント
当院院長 李一孝は、歯科医師を対象とした
GCインプラントセミナー公認インストラクターです。

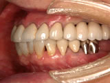
当院では1987年にITIストローマンインプラントによる部分欠損への応用、 また1989年にブローネマルクインプラント用いた無歯顎インプラント治療 (歯がすべてなくなった人へのインプラント治療)を開始しました。
現在までに約2000本のインプラント治療を34年ほど前から行っております。当時はインプラント治療といってもまだ一般的ではなく、「そんな治療聞いたことがない」とおっしゃる患者様が多く、インプラント治療をお受けになる方は少なかったです。最近では「私の場合はどんな治療がいいのですか?入れ歯かインプラントかどっちがいいですか?」と、ご相談にいらっしゃる患者様が増えています。
昨今、人体の再生医療の進歩には目を見張るものがあります。それに伴い骨の再生の研究が進み、インプラント治療も進化しつづけております。1980年代以後、現在に至るまで世界中でいろいろなインプラントが開発されております。その中から当院では現在ブローネマルクインプラント、ライフコアーインプラント、 スプラインインプラント、GCインプラントなどのインプラントを使用しております。
インプラント治療にはいろいろなご意見があります。歯がなくなった方、すべての患者様においてインプラント治療が一番良いというわけではありません。正しい診査診断により決定すべきです。しかし、インプラント治療が歯科医学的に良いとか悪いとかと言う議論をする時代ではなくなりました。 インプラント治療は歯の欠損修復治療として確立されたと言えるでしょう。
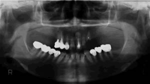
私は歯科医師として患者様にいろいろな治療の選択肢をご提供できるように常に努力をしていきたいと考えており、 インプラント治療はその選択肢の一つだと思います。当院ではより正確に、安全にインプラント手術が行えるようにCTスキャンを応用した診断法を1996年から始めました。 CTスキャンは通常は大きな医科の病院にしか設置されていません。 以前はそういった病院に患者様に行ってもらい撮影をしておりました。 しかし現在では歯科用のCTスキャンが開発され、当院にも2008年4月にプレヴィスタと言うコーンビームCTが設置されました。これによりインプラントのCT撮影、手術シュミレーション検査がいつでもできるようになりました。 難症例を除き、撮影後少しお待ちいただければインプラント治療が可能かどうかご説明できます。患者様もこのCT画像をご覧になると、インプラント治療がどのようなものか良くわかると思います。インプラント治療に関心のある方はお気軽にご相談ください。












